Kết quả cuối cùng của thử nghiệm IMPRESS: TKIs + Hoá trị sau khi tiến triển với TKIs bước 1 trong điều trị ung thư phổi không tế bào nhỏ có đột biến EGFR. Thử nghiệm IMPRESS (Iressa Mutation-Positive multicentre treatment beyond ProgRESsion Study), với hy vọng tiếp nối thành …
Tháng Mười, 2017
-
30 Tháng Mười
Giá trị tiên lượng và dự báo của CEA huyết thanh với ung thư phổi không tế bào nhỏ giai đoạn tiến xa có đột biến EGFR được điều trị bằng TKIs
Hiện nay, các thuốc ức chế Tyrosine kinase của EGFR được sử dụng rộng rãi trong điều trị UTPKTBN giai đoạn tiến xa hoặc tái phát, tuy nhiên, chúng ta chưa xác định được 1 dấu ấn sinh học nào cho phép dự báo hiệu quả của EGFR TKI. Một …
-
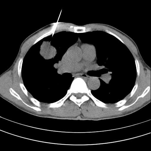
3 Tháng Mười
Chẩn đoán hình ảnh trong UNG THƯ PHỔI
Bài giảng Chẩn đoán hình ảnh trong UNG THƯ PHỔI from TRAN Bach
Tháng Chín, 2017
-
25 Tháng Chín
ESMO 2017 || Cắt lớp vi tính không tốt hơn XQuang ngực trong theo dõi sau mổ UNG THƯ PHỔI không tế bào nhỏ
Cho đến nay, hầu hết các hướng dẫn thực hành lâm sàng đều khuyến cáo thăm khám lâm sàng kết hợp Xquang ngực (6 tháng/lần trong 2 năm đầu tiên, sau đó hàng năm) trong theo dõi sau điều trị các trường hợp UTPKTBN được phẫu thuật. Tuy nhiên, phải …
Tháng Bảy, 2017
-
6 Tháng Bảy
Hướng dẫn quyết định điều trị Ung thư phổi không tế bào nhỏ DI CĂN NÃO – 2017
Sơ đồ hướng dẫn quyết định điều trị các trường hợp ung thư phổi loại không tế bào nhỏ di căn não đồng thì (synchronous) và khác thì (metachronous) theo HƯỚNG DẪN cập nhật mới nhất năm 2017 của hội Ung thư lồng ngực Pháp (khu vực Auverge – Rhône …
Tháng Sáu, 2017
-
7 Tháng Sáu
Gefitinib vs hóa trị trong chỉ định điều trị bổ trợ ung thư phổi không tế bào nhỏ giai đoạn sớm có đột biến EGFR
Gefitinib, một thuốc ức chế Tyrosin kinase (TKis) nhắm đến đích EGFR kinase, đã được FDA chấp thuận cho chỉ định điều trị ung thư phổi không tế bào nhỏ giai đoạn tiến xa (IIIb, IV) có đột biến gen này. Dựa trên kết quả thử nghiệm lâm sàng tại …
-
3 Tháng Sáu
ĐỌC BÁO: Số lượng hạch tối thiểu cần vét được trong phẫu thuật ung thư phổi không tế bào nhỏ
Tạp chí Phẫu thuật Ung thư 2016, 23 (Suppl 5): 1005-1011 Lợi ích của nạo vét hạch vùng trong điều trị ung thư phổi không tế bào nhỏ có khả năng phẫu thuật tiếp tục là chủ đề được bàn luận. Một nghiên cứu được báo cáo trên tạp chí …
Tháng Năm, 2017
-
29 Tháng Năm
Lựa chọn Erlotinib hay Gefitinib cho ung thư phổi không tế bào nhỏ giai đoạn tiến xa có đột biến gen EGFR
Thử nghiệm lâm sàng pha III so sánh đối đầu erlotinib và gefitinib về tính an toàn và hiệu quả trong điều trị ung thư phổi không tế bào nhỏ giai đoạn tiến xa có đột biến EGFR Các tác giả: J J Yang, Q Zhou, H H Yan, X …
-
28 Tháng Năm
UNG THƯ PHỔI KHÔNG TẾ BÀO NHỎ: Có thể trì hoãn thời điểm bắt đầu hoá trị bổ trợ sau mổ?
Michelle C. Salazar, MD; Joshua E. Rosen, BASc; ZuohengWang, PhD; Brian N. Arnold, MD; Daniel C. Thomas, MD; Roy S. Herbst, MD; AnthonyW. Kim, MD; Frank C. Detterbeck, MD; Justin D. Blasberg, MD; Daniel J. Boffa, MD Hoá trị bổ trợ sau phẫu thuật được chỉ định trong nhiều giai …